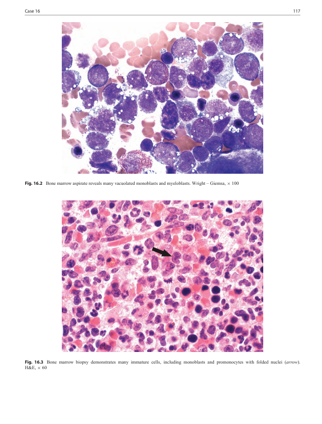
Description
Atlas of Hematologic Neoplasms 1st Edition
Due to its rapid development in recent years, hematopathology has become a very complicated discipline. The current development is mainly in two aspects: the new classification of lymphomas and leukemias and the new techniques.
The Revised European-American Classification of Lymphoid Neoplasms (REAL classification) and the World Health Organization (WHO) classification of hematologic neoplasms require not only morphologic criteria but also immunophenotyping and molecular genetics for the diagnosis of hematologic tumors. Immunophenotyping is performed by either flow cytometry or immunohistochemistry. There are many new monoclonal antibodies and new equipments accumulated in recent years that make immunophenotyping more or more accurate and helpful. There are even more new techniques invented in recent years in the field of molecular genetics. In cytogenetics, the conventional karyotype is supplemented and partly replaced by the fluorescence in situ hybridization (FISH) technique. The current development of gene expression profiling is even more powerful in terms of subtyping the hematologic tumors, which may help guiding the treatment and predict the prognosis. In molecular biology, the tedious Southern blotting technique is largely replaced by polymerase chain reaction (PCR). The recent development in reverse-transcriptase PCR and quantitative PCR makes these techniques even more versatile.
Because of these new developments, hematopathology has become too complicated to handle by a general pathologist. Many hospitals have to hire a newly trained hematopathologist to oversee peripheral blood, bone marrow and lymph node examinations. These young hematopathologists are geared to the new techniques, but most of them are inexperienced in morphology. No matter how well-trained a hematopathologist is, he or she still needs to see enough cases so that they can recognize the morphology and use the new techniques to substantiate the diagnosis. In other words, morphology is still the basis for the diagnosis of lymphomas and leukemias.
Therefore, a good color atlas is the most helpful tool for these young hematopathologists and for the surgical pathologists who may encounter a few cases of hematologic tumors from time to time. In a busy daily practice, it is difficult to refer to a comprehensive hematologic textbook all the time. There are a few hematologic color atlases on the market to show the morphology of the normal blood cells and hematologic tumor cells. These books are helpful but not enough, because tumor cell morphology is variable from case to case and different kinds of tumor cells may look alike and need to be differentiated by other parameters.
The best way to learn morphology is through the format of clinical case study. This format is also consistent with the daily practice of hematopathologists and with the pattern in all the specialty board examinations. Therefore, it is a good learning tool for the pathology residents, hematology fellows as well as medical students.











